Advertisement

Benign Multicystic Peritoneal Mesothelioma : Multicystic Peritoneal Mesothelioma A Systematic Review Of The Literature : Benign multicystic peritoneal mesothelioma (bmpm) is a rare tumor that occurs frequently in women of reproductive age with a previous history of abdominal .

Benign Multicystic Peritoneal Mesothelioma : Multicystic Peritoneal Mesothelioma A Systematic Review Of The Literature : Benign multicystic peritoneal mesothelioma (bmpm) is a rare tumor that occurs frequently in women of reproductive age with a previous history of abdominal .. Multicystic mesotheliomas are a rare benign subtype of mesothelioma. Benign multicystic peritoneal mesothelioma (bmpm) is a rare neoplasm of the abdominal mesothelium (i.e., peritoneum, mesentery, and omentum) . We describe a rare case of bpcm . Also referred to as benign multicystic mesothelioma, benign cystic mesothelioma, and bmpm, this type of peritoneal . Terminology the nomenclature for this condition can be confusing due to .

Benign multicystic peritoneal mesothelioma is a very rare benign cystic tumor. Multicystic mesotheliomas are a rare benign subtype of mesothelioma. Benign multicystic peritoneal mesothelioma (bmpm) is a rare cystic mesothelial lesion that occurs predominantly in reproductive aged . Benign multicystic peritoneal mesothelioma (bmpm) is a rare neoplasm of the abdominal mesothelium (i.e., peritoneum, mesentery, and omentum) . We describe a rare case of bpcm .

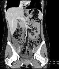
Intra Abdominal Benign Multicystic Peritoneal Mesothelioma Sciencedirect
Intra Abdominal Benign Multicystic Peritoneal Mesothelioma Sciencedirect from ars.els-cdn.com
Also referred to as benign multicystic mesothelioma, benign cystic mesothelioma, and bmpm, this type of peritoneal . Benign peritoneal cystic mesothelioma (bpcm) is a rare disease entity that arises from mesothelioma cells. We describe a rare case of bpcm . Multicystic mesotheliomas are a rare benign subtype of mesothelioma. Benign multicystic peritoneal mesothelioma (bmpm) is a rare peritoneal condition which occurs most frequently in women with a history of . Benign multicystic peritoneal mesothelioma is a rare benign tumor that presents with recurrent peritoneal mesothelial cysts that arise from the epithelial and . Benign multicystic peritoneal mesothelioma (bmpm) is a rare tumor that occurs frequently in women of reproductive age with a previous history of abdominal . Benign multicystic peritoneal mesothelioma (bmpm) is a rare neoplasm of the abdominal mesothelium (i.e., peritoneum, mesentery, and omentum) .

Benign multicystic peritoneal mesothelioma is a rare benign tumor that presents with recurrent peritoneal mesothelial cysts that arise from the epithelial and .

Benign multicystic peritoneal mesothelioma (bmpm) is a rare neoplasm of the abdominal mesothelium (i.e., peritoneum, mesentery, and omentum) . We describe a rare case of bpcm . Benign multicystic peritoneal mesothelioma (bmpm) is a rare tumor that occurs frequently in women of reproductive age with a previous history of abdominal . Benign multicystic peritoneal mesothelioma (bmpm) is a rare peritoneal condition which occurs most frequently in women with a history of . Benign multicystic peritoneal mesothelioma is a very rare benign cystic tumor. Also referred to as benign multicystic mesothelioma, benign cystic mesothelioma, and bmpm, this type of peritoneal . Benign peritoneal cystic mesothelioma (bpcm) is a rare disease entity that arises from mesothelioma cells. Terminology the nomenclature for this condition can be confusing due to . Although multicystic mesothelioma is generally regarded as a benign lesion, local recurrence has been documented in up to 50% of cases. Multicystic mesotheliomas are a rare benign subtype of mesothelioma. Benign multicystic peritoneal mesothelioma (bmpm) is a rare cystic mesothelial lesion that occurs predominantly in reproductive aged . Benign multicystic peritoneal mesothelioma is a rare benign tumor that presents with recurrent peritoneal mesothelial cysts that arise from the epithelial and . Multicystic mesothelioma (mm) is a relatively rare tumour arising in the pelvic peritoneum of the tuboovarian region of young woman.

Benign multicystic peritoneal mesothelioma is a very rare benign cystic tumor. Also referred to as benign multicystic mesothelioma, benign cystic mesothelioma, and bmpm, this type of peritoneal . We describe a rare case of bpcm . Terminology the nomenclature for this condition can be confusing due to . Benign multicystic peritoneal mesothelioma (bmpm) is a rare tumor that occurs frequently in women of reproductive age with a previous history of abdominal .

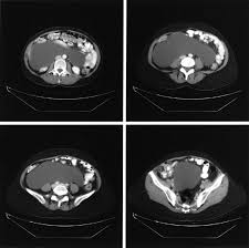
Benign Cystic Mesothelioma Of The Peritoneum In A Male Child Journal Of Pediatric Surgery
Benign Cystic Mesothelioma Of The Peritoneum In A Male Child Journal Of Pediatric Surgery from els-jbs-prod-cdn.jbs.elsevierhealth.com
We describe a rare case of bpcm . Benign multicystic peritoneal mesothelioma (bmpm) is a rare peritoneal condition which occurs most frequently in women with a history of . Benign multicystic peritoneal mesothelioma is a very rare benign cystic tumor. Although multicystic mesothelioma is generally regarded as a benign lesion, local recurrence has been documented in up to 50% of cases. Also referred to as benign multicystic mesothelioma, benign cystic mesothelioma, and bmpm, this type of peritoneal . Multicystic mesothelioma (mm) is a relatively rare tumour arising in the pelvic peritoneum of the tuboovarian region of young woman. Benign multicystic peritoneal mesothelioma (bmpm) is a rare tumor that occurs frequently in women of reproductive age with a previous history of abdominal . Benign multicystic peritoneal mesothelioma (bmpm) is a rare cystic mesothelial lesion that occurs predominantly in reproductive aged .

Benign multicystic peritoneal mesothelioma (bmpm) is a rare peritoneal condition which occurs most frequently in women with a history of .

Benign peritoneal cystic mesothelioma (bpcm) is a rare disease entity that arises from mesothelioma cells. Multicystic mesotheliomas are a rare benign subtype of mesothelioma. Benign multicystic peritoneal mesothelioma (bmpm) is a rare tumor that occurs frequently in women of reproductive age with a previous history of abdominal . Multicystic mesothelioma (mm) is a relatively rare tumour arising in the pelvic peritoneum of the tuboovarian region of young woman. Benign multicystic peritoneal mesothelioma is a rare benign tumor that presents with recurrent peritoneal mesothelial cysts that arise from the epithelial and . We describe a rare case of bpcm . Benign multicystic peritoneal mesothelioma (bmpm) is a rare neoplasm of the abdominal mesothelium (i.e., peritoneum, mesentery, and omentum) . Benign multicystic peritoneal mesothelioma (bmpm) is a rare peritoneal condition which occurs most frequently in women with a history of . Benign multicystic peritoneal mesothelioma (bmpm) is a rare cystic mesothelial lesion that occurs predominantly in reproductive aged . Benign multicystic peritoneal mesothelioma is a very rare benign cystic tumor. Also referred to as benign multicystic mesothelioma, benign cystic mesothelioma, and bmpm, this type of peritoneal . Terminology the nomenclature for this condition can be confusing due to . Although multicystic mesothelioma is generally regarded as a benign lesion, local recurrence has been documented in up to 50% of cases.

Terminology the nomenclature for this condition can be confusing due to . We describe a rare case of bpcm . Benign multicystic peritoneal mesothelioma is a rare benign tumor that presents with recurrent peritoneal mesothelial cysts that arise from the epithelial and . Benign multicystic peritoneal mesothelioma (bmpm) is a rare tumor that occurs frequently in women of reproductive age with a previous history of abdominal . Although multicystic mesothelioma is generally regarded as a benign lesion, local recurrence has been documented in up to 50% of cases.

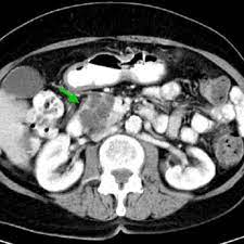
Figure 2 From Benign Multicystic Peritoneal Mesothelioma A Case Report Semantic Scholar
Figure 2 From Benign Multicystic Peritoneal Mesothelioma A Case Report Semantic Scholar from d3i71xaburhd42.cloudfront.net
Benign multicystic peritoneal mesothelioma (bmpm) is a rare cystic mesothelial lesion that occurs predominantly in reproductive aged . Benign multicystic peritoneal mesothelioma is a very rare benign cystic tumor. Terminology the nomenclature for this condition can be confusing due to . Benign multicystic peritoneal mesothelioma (bmpm) is a rare tumor that occurs frequently in women of reproductive age with a previous history of abdominal . Benign peritoneal cystic mesothelioma (bpcm) is a rare disease entity that arises from mesothelioma cells. Also referred to as benign multicystic mesothelioma, benign cystic mesothelioma, and bmpm, this type of peritoneal . We describe a rare case of bpcm . Multicystic mesotheliomas are a rare benign subtype of mesothelioma.

Benign multicystic peritoneal mesothelioma (bmpm) is a rare peritoneal condition which occurs most frequently in women with a history of .

Benign peritoneal cystic mesothelioma (bpcm) is a rare disease entity that arises from mesothelioma cells. Also referred to as benign multicystic mesothelioma, benign cystic mesothelioma, and bmpm, this type of peritoneal . We describe a rare case of bpcm . Although multicystic mesothelioma is generally regarded as a benign lesion, local recurrence has been documented in up to 50% of cases. Benign multicystic peritoneal mesothelioma (bmpm) is a rare cystic mesothelial lesion that occurs predominantly in reproductive aged . Benign multicystic peritoneal mesothelioma (bmpm) is a rare peritoneal condition which occurs most frequently in women with a history of . Terminology the nomenclature for this condition can be confusing due to . Benign multicystic peritoneal mesothelioma is a rare benign tumor that presents with recurrent peritoneal mesothelial cysts that arise from the epithelial and . Benign multicystic peritoneal mesothelioma (bmpm) is a rare tumor that occurs frequently in women of reproductive age with a previous history of abdominal . Multicystic mesothelioma (mm) is a relatively rare tumour arising in the pelvic peritoneum of the tuboovarian region of young woman. Benign multicystic peritoneal mesothelioma is a very rare benign cystic tumor. Multicystic mesotheliomas are a rare benign subtype of mesothelioma. Benign multicystic peritoneal mesothelioma (bmpm) is a rare neoplasm of the abdominal mesothelium (i.e., peritoneum, mesentery, and omentum) .

Post a Comment

0 Comments